
Normal Right Recurrent Laryngeal Nerve A And Right Nonrecurrent Download Scientific Diagram

Non Recurrent Laryngeal Nerve In Thyroid Surgery A Report Of Case Series In Vietnam And Literature Review Semantic Scholar

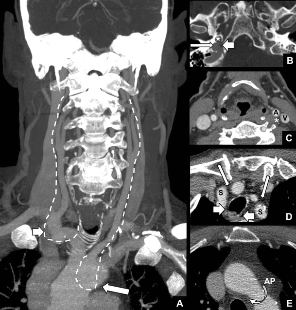
Vocal Cord Paralysis Anatomy Imaging And Pathology Insights Into Imaging Full Text

The Left Recurrent Laryngeal Nerve Rln Passing Under The Aortic Arch Download Scientific Diagram

Major Evolutionary Blunders The Poor Design Of Our Recurrent Laryngeal Nerve The Institute For Creation Research

Possible Recurrent Laryngeal Nerve Injury Springerlink
2

The Non Recurrent Laryngeal Nerve A Meta Analysis And Clinical Considerations Peerj
Dr Emil Lee En Twitter Reviewing Recurrent Laryngeal Nerve Anatomy In Context Of Vocal Cord Paralysis Https T Co Rznppfb7jv Twitter

Figure Recurrent Laryngeal Nerves Image Courtesy S Bhimji Md Statpearls Ncbi Bookshelf

Laryngeal Nerve Damage Information Mount Sinai New York